歯の痛み

歯の痛み · 01日 10月 2025
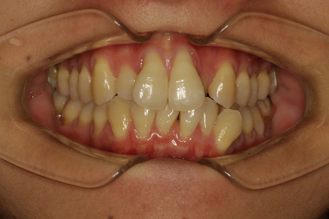
歯科治療ブログ 知っておくべき知覚過敏の対応
知覚過敏にお困りでしょうか? 知覚過敏の方は非常に多く、知覚過敏の専用の歯磨き粉など開発されています.知覚過敏の原因はいろいろありますが、歯の神経が過敏になるような状態になっていることがきっかけになることが多いようです。 たとえば、歯茎が下がって歯の敏感な部分の歯の根っこが露出してしまった場合や、深い虫歯の治療を行った刺激で神経が過敏になってしまった場合や、歯ぎしりが強くて歯の付け根の部分が削れてしまった場合などがよく知覚過敏を起こします。
歯の痛み · 29日 9月 2025
歯科治療ブログ 激痛が引かない神経の痛みの治療
歯の痛みに耐えられない場合は、神経の痛みかもしれません. 神経の痛みはしばしば激痛となり、夜も寝れないという方もいらっしゃいます。こういったケースでは痛み止めが効きにくいか、全く効かないといったことが良くあります。数日我慢すると落ち着くこともありますが、歯医者に駆け込むことになることが多いようです。
歯の痛み · 22日 9月 2025
歯科治療ブログ 奥歯の麻酔について
下の奥歯の麻酔は効きにくい!伝達麻酔を使用します. 奥歯の治療を行うとき、麻酔が効きにくいことがあります。親知らずを抜くときや、歯の神経を抜くときに麻酔が効きにくくなっています。炎症が起こってしまっている部分の麻酔は聞きにくいため、大量の麻酔が必要になってしまいます。
歯の痛み · 07日 9月 2025
虫歯で痛み止めの効かない痛みもあります.
歯の痛みで眠れない、痛み止めが効かない! といったことがあります。その場で何をすればよいかわからない場合も多いでしょう。 痛み止めが効かない痛みが出てしまった場合は、なるべく早めに歯科医院に行くことをお勧めしますが、まずは横にならずに椅子に座ることが良い場合があります。血圧を下げて脈打つ痛みを落ちつがせることができるかもしれません。
歯の痛み · 26日 8月 2025
痛い奥歯の麻酔が効かないときの麻酔方法。伝達麻酔とは
歯が痛いときの下の奥歯の麻酔は効きにくいため、通常の麻酔に追加して伝達麻酔を使用します. あなたも経験があるかもしれませんが,奥歯の虫歯が痛い時に治療されていたかったという事がありませんか?伝達麻酔という方法を行う事で、しっかりと麻酔を聞いた状態で虫歯の治療をする事で痛みの我慢をしなくて済むようになります. 奥歯の治療を行うとき、麻酔が効きにくいことがあります。親知らずを抜くときや、歯の神経を抜くときに麻酔が効きにくくなっています。炎症が起こってしまっている部分の麻酔は聞きにくいため、大量の麻酔が必要になってしまいます。
歯の痛み · 25日 8月 2025
噛んだ時に歯が痛い場合の重症度とは
歯科治療の経験のある方は、お食事中歯に違和感を感じた経験をお持ちだとおもいます。多くの場合、一時的なお痛みで忘れてしまうことが多いですし、通常問題ありません。ただ、かむといつも痛いけどその歯を使用しなければお食事に支障はないので放置してしまっているという場合は要注意です。 噛んだ時に歯に痛みを感じる場合は単なる虫歯より状態が悪いことが多いです。
歯の痛み · 17日 8月 2025
麻酔で緊張される方へ 痛みを軽減させる麻酔法とは
歯科治療をしたいけど、痛みが気になって治療を始めれないという方には朗報です。 麻酔の緊張の一つに痛みがあると思います。 麻酔の痛みを軽減させる方法として,注射の針を細くする、麻酔の液をゆっくり入れる、麻酔の液を温める、麻酔の注射の前に塗るタイプの麻酔を皮膚に塗るといった方法があります.基本的にこのすべてのことを行います.
歯の痛み · 26日 7月 2025
虫歯がないのに歯が痛いってどうして? 歯石を取った後の知覚過敏について
今まで痛くなかった歯の歯石を取った後痛みが出てしまうって経験をされた事はないでしょうか? 歯周病が進行してしまった場合の治療時や、歯周病の定期的なメンテナンスとして歯石をお取りすることがあります。歯石を取ることで歯周病の原因菌を除去することも可能ですし、歯周病を進行させないために重要になります。そのため、歯石を取った後に知覚過敏が出てしまった場合、知覚過敏の対応をいたします。知覚過敏になるのが嫌だからと言って歯石を取らないと、歯周病が進行しますので、歯にとってはもっと歯周病が進行してしまうことになります。
歯の痛み · 21日 7月 2025
噛んだ時に歯が痛い。そんな時は歯が折れてしまっているからかもしれません。
噛んだ時に歯が痛いのは歯の根っこが折れているからかもしれません. あなたがお食事中に物を噛んで、歯が傷んでしまう場合、考えられる歯科の病気は、虫歯、歯の根っこの炎症、歯周病、歯の破折、食いしばりが考えられます。
歯の痛み · 18日 7月 2025
根っこの治療後に痛みが出る場合があります。
根っこの治療後の痛みは心配ありません。 歯の根っこの治療を行った場合、根っこの先に刺激が残ってしまって噛んだ時などに痛みを感じることがあります。痛みが出てしまうと心配になる方がいらっしゃいますが、基本的にこの痛みは心配ありません。2~3日で落ち着きます。 このお痛みは一時的なもので、根っこの治療に問題があるためではない事がほとんどです.器具で根っこの先を触ってしまった刺激や、お薬の刺激、細菌の刺激による一時的な増殖などが原因になると考えられます.感染が起こったということではないと考えられます。

さらに表示する